きくな湯田眼科へのご予約
WEB予約
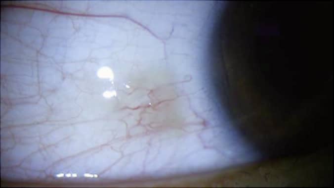
できる場所 結膜 (白目の表面)
特徴 茶色のシミ。10~30代にできやすい。
治療 レーザー治療が可能。
悪性化 非常にまれ。
できる場所 強膜 (白目の内側)
特徴 黒いシミ。太田母斑など生まれつきのことが多い。
治療 レーザー治療は難しいことがある。
できる場所 結膜
特徴 50歳以降にできる茶褐色のシミ。
治療 レーザー治療が可能。
悪性化 可能性があり、注意が必要。
注意点 シミが大きくなったり、充血がある場合は要注意。
できる場所 結膜
特徴 30歳以降にできる黄白色の結膜のもりあがり。
治療
外科的に切除することがあるが瘢痕が残る可能性がある。
レーザーで治すことはできるが数回の処置が必要。

眼科医
湯田 兼次 Kenji Yuda
ゆだ けんじ
きくな湯田眼科
名誉院長
センター北しみずアイクリニック
理事
眼瞼下垂手術、結膜母斑治療、涙道手術、神経眼科