きくな湯田眼科へのご予約
WEB予約
目の表面は、「角膜(いわゆる黒目)」という透明な膜と、「結膜」や「強膜(いわゆる白目)」に分けられます。
これらの部位に異常があると、ごろごろやチクチクとした違和感などの症状が現れます。
中でも角膜に異常がある場合は、結膜や強膜に比べて症状が強く出ている傾向があります。
角膜びらんは、角膜の浅い層にできる傷で、目のけがやコンタクトレンズの取り外し時に起こることがあります。
まれに、角膜びらんを繰り返す「再発性角膜上皮びらん」という病気に移行することがあります。
涙の成分を補う目薬や、感染を防ぐための抗生物質の点眼を行います。
再発性角膜上皮びらんの場合は、寝る前に軟膏を点眼します。
この場合、数カ月にわたる継続的な治療が必要で、途中で中断すると再発する恐れがあります。
角膜びらんは、見た目ではわかりにくいことが多く、 染色剤 (フルオレセインなど) を使って染色することで確認できます。
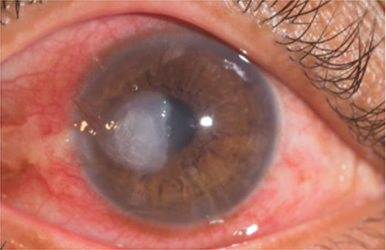
角膜潰瘍は、角膜の深い層にできる傷です。
原因には、細菌・真菌・アメーバ・ウイルスなどの感染や、アレルギー反応による「カタル性角膜潰瘍」や「Mooren潰瘍」などがあります。
感染が原因の場合は、抗生物質などの点眼で治療します。
アレルギーが原因の場合は、ステロイド点眼を使用します。
目の表面は涙によって保護されていますが、ドライアイでは涙が不足するため、ごろごろした違和感やしみるような症状が現れます。
視界がかすんだり、見えづらくなることもあります。
デスクワークやスマートフォン、テレビを長時間見ることで症状が悪化しやすいのが特徴です。
まつ毛が角膜に当たることで、ごろごろとした不快感を感じます。
子どもではまつ毛が柔らかいため、症状が出ないこともあります。
まつ毛の根元にある分泌腺に細菌が感染することで発生します。
抗生物質の点眼で治療を行い、改善しない場合は手術による摘出が必要です。
結膜に炎症が起こる病気で、アレルギー性結膜炎と感染性結膜炎に分けられます。
結膜の一部が角膜に伸びてくる病気です。
強い紫外線やホコリなどの慢性的な刺激によって発症します。
乱視が強くなることがあり、角膜の中央まで病変が進行すると、急激な視力低下を引き起こすこともあります。
見た目が気になる場合や、角膜中央に近づいている場合、また乱視が出ている場合には、手術で取り除くことを検討します。
「強膜」とは、結膜の奥にある眼球の白い壁の部分です。
この部分に炎症が起こるのが「強膜炎」です。
結膜炎に比べてごろごろした不快感が強く、痛みを伴うことがあります。
治療にはステロイド点眼薬を使用します。
「眼窩」とは、目が収まっている顔面の骨のくぼみ部分です。
眼精疲労やストレスが原因で、眼窩にある神経に痛みが生じることがあり、これを「眼窩神経痛」と呼びます。
眼科の検査では異常が見つからないのが特徴です。
一瞬だけ、目にズキンと針で刺されたような鋭い痛みが出る場合は、「眼窩神経痛」の可能性があります。
十分な休息や睡眠、適度な運動が効果的です。
痛みが強い場合には、鎮痛薬 (痛み止め) を処方します。
片頭痛はズキズキと脈打つような頭の痛みが特徴で、片側だけに起こることが多いです。
吐き気や光・音に敏感になることもあり、数時間から数日続くことがあります。
群発性頭痛は目の奥がえぐられるような激しい痛みが、毎日決まった時間に起こるのが特徴です。
痛みは片側だけで、涙や鼻水が出ることもあります。
1~2か月ほど続いたあと、しばらく症状が出ない時期があります。
群発性頭痛は充血を伴うことがあります。
急性緑内障発作は、眼圧 (目の圧力) が急激に上昇し、視神経に強いダメージを与える状態です。
放置すると失明のリスクがあるため、緊急の治療が必要です。
多くの場合、白内障が原因で起こるため、白内障手術によって治療が可能です。
「ぶどう膜」とは、眼球の内側にある茶色い組織で、その見た目から名前が付けられました。
この部分に炎症が起こるのが「ぶどう膜炎」です。
目の奥の痛みとともに、視界がかすむ・見えにくくなるといった症状が現れます。
ステロイド点眼薬を用いて炎症を抑えます。
視神経に炎症が起こる病気で、視力が急激に低下することがあります。
ステロイドの点滴治療を行います。
まれに、「視神経脊髄炎」という重症の病気が原因のことがあり、この場合は、ステロイドの点滴に加え、分子標的薬や血漿交換療法など、専門的な治療が必要になります。

きくな湯田眼科
院長
センター北しみずアイクリニック
理事
妙蓮寺眼科
非常勤